Kenapa Perawatan Gigi Rutin Itu Sangat Penting

Kesehatan gigi sering kali dianggap sepele, padahal perannya sangat penting dalam kesehatan tubuh secara keseluruhan. Masalah pada gigi dan gusi tidak hanya memengaruhi kemampuan makan dan berbicara, tetapi juga bisa berdampak pada kesehatan organ lain jika tidak ditangani dengan baik. Oleh karena itu, perawatan gigi secara rutin menjadi hal yang tidak boleh diabaikan.

Banyak orang baru datang ke klinik gigi ketika sudah merasakan sakit atau ketidaknyamanan. Padahal, pemeriksaan rutin dapat membantu mendeteksi masalah sejak dini, sehingga penanganannya bisa lebih mudah dan tidak menimbulkan komplikasi yang lebih serius.

Salah satu fasilitas yang menyediakan layanan perawatan gigi adalah https://www.vsmiledental2016.com/, yang menawarkan berbagai layanan kesehatan gigi untuk membantu menjaga dan memperbaiki kondisi oral pasien.

Layanan Perawatan Gigi yang Lengkap

Klinik gigi modern biasanya menyediakan berbagai jenis layanan, mulai dari perawatan dasar hingga tindakan yang lebih kompleks. Perawatan dasar seperti pembersihan gigi (scaling), pemeriksaan rutin, dan penambalan gigi merupakan langkah penting untuk menjaga kesehatan mulut sehari-hari.

Selain itu, ada juga layanan lanjutan seperti perawatan saluran akar, pencabutan gigi, hingga pemasangan behel untuk merapikan susunan gigi. Semua layanan ini dirancang untuk membantu pasien mendapatkan kondisi gigi yang lebih sehat dan fungsional.

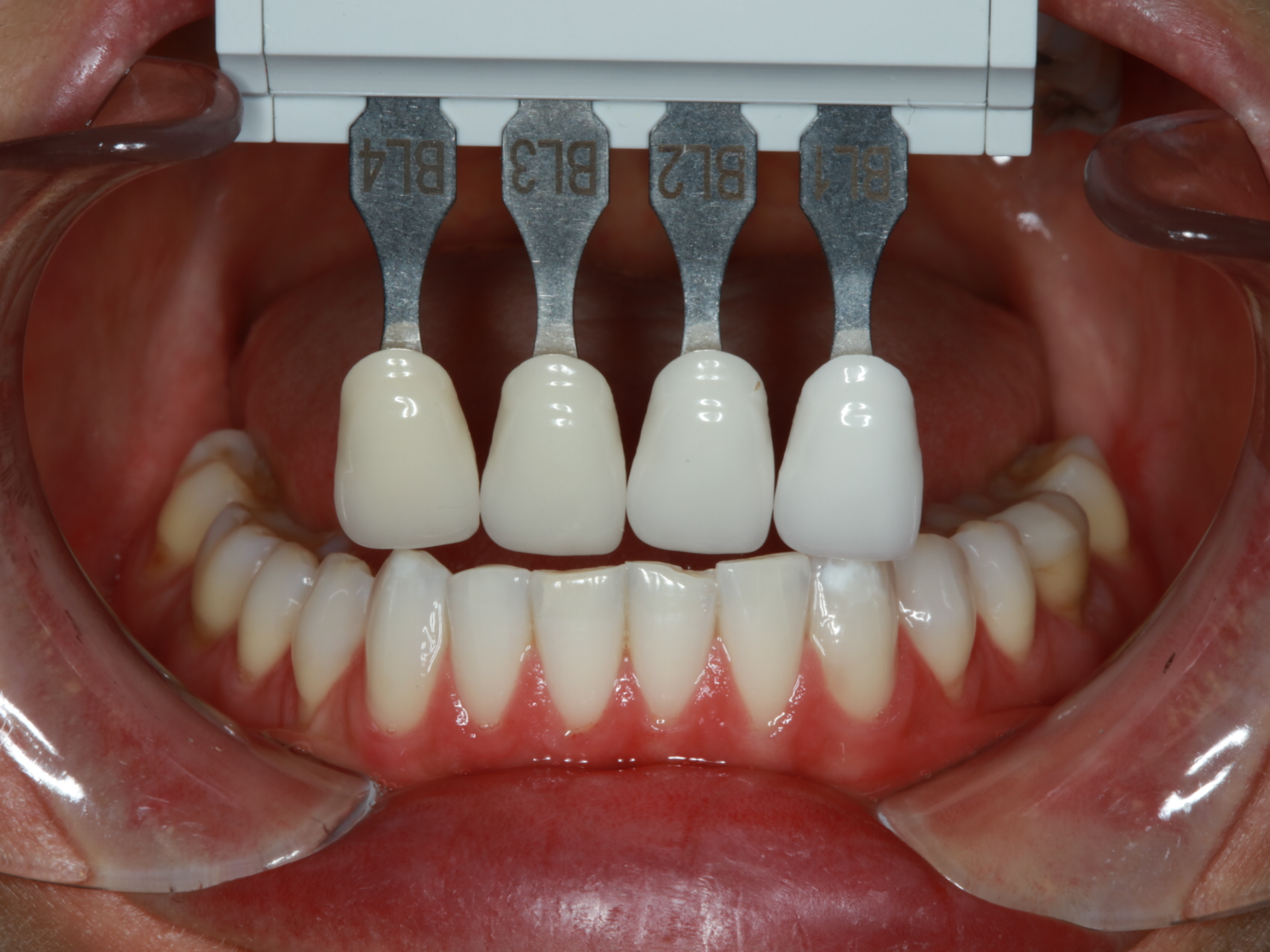
Perawatan estetika seperti pemutihan gigi juga semakin populer, terutama bagi mereka yang ingin meningkatkan kepercayaan diri melalui senyuman yang lebih cerah.

Pentingnya Pemeriksaan Rutin

Salah satu kesalahan umum dalam perawatan gigi adalah mengabaikan pemeriksaan rutin. Banyak orang berpikir bahwa selama tidak ada rasa sakit, berarti tidak ada masalah. Padahal, banyak kondisi gigi berkembang secara perlahan tanpa gejala yang jelas di awal.

Dengan melakukan pemeriksaan rutin, dokter gigi dapat mendeteksi masalah seperti gigi berlubang kecil, infeksi gusi, atau penumpukan plak sebelum menjadi lebih parah. Ini tidak hanya membantu menjaga kesehatan gigi, tetapi juga mengurangi biaya perawatan di masa depan.

Peran Teknologi dalam Dunia Kedokteran Gigi

Perkembangan teknologi juga membawa perubahan besar dalam dunia kedokteran gigi. Alat diagnostik yang lebih modern memungkinkan dokter untuk melihat kondisi gigi dengan lebih detail dan akurat. Selain itu, prosedur perawatan juga menjadi lebih cepat, nyaman, dan minim rasa sakit dibandingkan metode lama.

Teknologi ini membantu meningkatkan kualitas layanan sekaligus memberikan pengalaman yang lebih baik bagi pasien. Klinik gigi modern kini dapat memberikan solusi yang lebih presisi sesuai dengan kebutuhan masing-masing individu.

Kesimpulan

Perawatan gigi adalah bagian penting dari menjaga kesehatan tubuh secara keseluruhan. Dengan melakukan pemeriksaan rutin, menjaga kebersihan mulut, dan mendapatkan perawatan yang tepat, berbagai masalah gigi dapat dicegah sejak dini.

https://www.vsmiledental2016.com/ menjadi salah satu pilihan layanan kesehatan gigi yang menyediakan berbagai perawatan untuk membantu menjaga kesehatan dan kebersihan mulut secara optimal. Dengan pendekatan yang profesional, perawatan gigi dapat dilakukan dengan lebih aman dan nyaman.

Leave a Reply